菠萝啤突然爆炸 登封男童中指神经断裂 正在学钢琴
最近天气燥热,相信喝啤酒的朋友一定不少,不过您知道吗,啤酒可能也存在安全隐患,8月6日,登封的洪先生说:菠萝啤他们一家因为一瓶遭了罪。

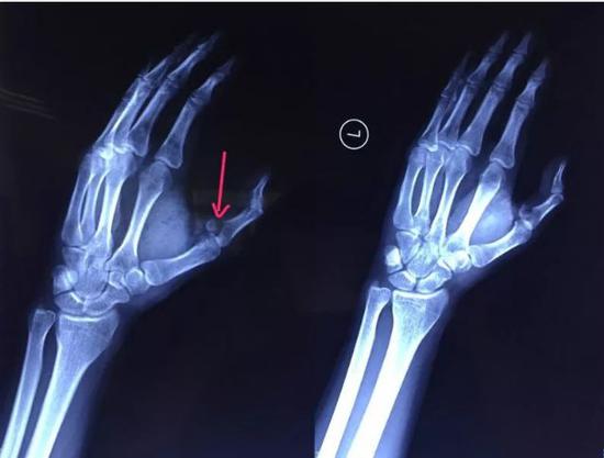
啤酒突然爆炸?8岁孩子手掌血流不止!洪先生说:“造成孩子手掌血流不止的就是这瓶菠萝啤”


洪先生的手被玻璃轻微划伤,而他年仅八岁的儿子,受伤情况严重。



一瓶小小的菠萝啤,竟有如此威力,瓶子好好的真的会吗?

洪先生向记者展示的,这个爆炸的瓶子是2018年生产的,既然在保质期内,又没有发生碰撞热胀冷缩 ,爆炸真的会发生吗?我们的记者联系上了厂家。


目前,洪先生正计划到这家啤酒,在郑州的生产厂家做相关鉴定

除了啤酒,碳酸性饮料也要警惕!可乐突然爆炸!小伙手指被炸骨折!What?!可乐会爆炸?!!!7 月 29 日晚餐前
小袁和往常一样冰可乐打算来一瓶解解暑,当他从冰箱里拿出一瓶可乐,正准备喝的时候,结果不小心将它掉在地上,就在他捡起来打开瓶盖的瞬间,可乐瓶突然发生爆炸!将他的左手虎口处炸开一条约 7cm 长的口子,伤口瞬间血流不止,左手动弹不得。

去到医院经过X光检查发现骨折,小袁的左手拇指近节指骨,当晚10点,医生给小袁进行手术,手术历时 2小时顺利完成,石膏固定术后,小袁的左手需采用4~6周

医生介绍,由于小袁伤口较深、创面较大,将来可能出现瘢痕挛缩影响受伤手指的关节活动度

万万没想到喝瓶冰可乐会带来如此严重的后果,小袁这下真的是追悔莫及啊……

话说回来为什么可乐会突然爆炸呢?通常我们会把刚买的常温饮料“冰起来”放在冰箱里让它慢慢,但有时候实在急不可待的话,快速降温,有人还会把它放到冰冻室。

但是你知道吗“爆炸”,这样做很可能会让一些饮料!液体的体积会膨胀,导致罐体被撑破,可乐是二氧化碳饮料,过热过冷都会让二氧化碳从液体中释放出来,,所以可乐罐不能加热,也不能冷冻!

如果可乐冷冻室(-18℃),由拿到室温下,温差达到了30℃以上,热胀冷缩由于的原理,罐体内气体受热急剧膨胀
此时开罐极有可能引起爆炸。而且除了可乐之外易拉罐或者玻璃瓶包装的碳酸饮料爆炸都是极易的!
关键词: 菠萝啤爆炸
推荐阅读
运动型轿车是什么 运动型轿车与普通车有何区别?
运动型轿车凭借着外观酷炫,动力性能强的特点,深受国内众多消费者的喜爱。特别是在年轻消费者心目中,运动型轿车基本上是购车的首选。但是 【详细】
汽油清洗剂是什么 汽油清洗剂加在汽油里是干嘛的?
最近有很多车主反映加油的时候总是建议用汽油清洁剂。但是,大部分人还是不太了解,还有就是一部分人纳闷汽油清洗剂加在汽油里是干嘛的?汽 【详细】
中国最便宜的汽车是哪个 最便宜的汽车汇总
现在汽车已经成为了大家最常见的交通代步工具了。但是,依然还是有很多的家庭非常的需要代步工具,却买不起特别贵的汽车。所以今天,我们就 【详细】
伊莱克斯冰箱质量怎么样 伊莱克斯冰箱质量好不好?
伊莱克斯冰箱质量怎么样:在2018年全球500强企业中,伊莱克斯排名第162位,在2020年全球2000强企业中,伊莱克斯排名第1965位,可见伊莱克斯 【详细】
劳动保护用品是什么 劳动保护用品有哪些?
劳动保护用品有哪些?劳动防护用品分为特殊劳动防护用品和一般劳动防护用品,一般劳动防护用品是指未列入目录的一般劳动防护用品。以下产品 【详细】
相关新闻
- 实现高并发秒杀的七种方式
- 全球看热讯:3D渲染引擎 HOOPS Visualize 2023全新发布-增加对顶点着色器支持
- 世界看热讯:「升级」Hubstudio多账号安全管理浏览器之扩展中心上线啦!
- 汽车早报 - 消息称蔚来布局百万元级别电动车 广汽称将继续为讴歌中国客户提供售后服务
- 今头条!车轮上的2022∣新能源与汽车出口带动:全国乘用车零售量同比增长1.9%
- 谷歌文档新功能:看到非打印字符
- 世界新消息丨一加新机质感高级,更有多项黑科技加持,3999的价格入手值吗?
- 焦点信息:中国手机品牌在2022年拿下俄罗斯市场份额65% 但高价机一个没有
- 2022年这5款熟悉的产品向我们告别
- 即时:陈副区长事件,引出一个老生常谈的问题,腾讯是否会保留聊天记录
- 我国首个具备独立运行能力的新能源储能项目在内蒙古并网通电
- 上海奉贤区初中转学条件2023
- 新冠病毒变异逻辑的猜测
- 世界讯息:充1次用10天!史上续航最强的国产手机,太猛了
- 全球视点!10个暗藏惊喜的微信小程序,个个好用不要钱,还请低调使用
- 世界热头条丨刘强东告别他的时代?回笼640亿携孕妻现身英国,祖宅半夜被泼漆
- 更便捷!威海市立医院互联网医院上线“新冠感染门诊”
- 七大常用的AR开发工具,总有一款适合你!
- 天天简讯:Telia为NCC提供面向北欧数字基础设施的全方位服务的ICT解决方案
- 【全球播资讯】小米13Ultra最快2月底见面?或告别万年USB 2.0
